Home News Hunde Würfe Zucht Wir in der Zucht Gästebuch Links Impressum

L - Wurf

Berta von den kleinen Strolchen  x  Mozart aus dem Niemandsland

 


 

geplanter L-Wurf von

 Berta von den kleinen Strolchen und

Mozart aus dem Niemandsland

 

Am Freitag 04.12. und Samstag 05.12.2015 hat sich Berta mit Mozart aus dem Niemandsland verpaart.

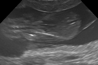
11.01.2016  Berta war beim Ultraschall und wir freuen uns auf Ihre Welpen Anfang Februar. So sehen die Kleinen jetzt aus ( Ultraschallbilder vom 11.01.2016)

     

Sollten Sie Interesse an einem L-chen haben, können Sie sich gerne telefonisch mit uns in Verbindung setzen.

Tel.: 06235 457454 oder uns auch eine Email schreiben.

 

 

Zu Mozart aus dem Niemandsland:

Wurftag: 02.05.2013

HD: A2  PL: frei

Augen: frei

Größe: 52 cm

Äußeres: sehr gut

Wesen: Sehr freundlicher, ausgeglichener Rüde, sehr sicher bei optischen und akustischen Reizen, neugieriges Interesse an kleineren Haustieren, keine Neigung zum Anspringen.

Mit einem Klick öffnen sich die Bilder in groß!

 

© Michael Kühn